
The Art of Composite Bonding
Share
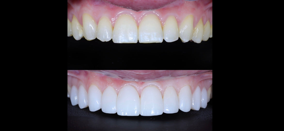
Discover the transformative power of composite bonding at The Warm Smile! Composite bonding is a non-invasive procedure ideal for addressing imperfections like gaps, chips, and discolorations.
Our process begins with careful treatment planning to calculate the proportion of your new teeth based on your existing teeth shape and facial analysis. While changing the entire shape of your teeth is possible, we prioritize maintaining the essence of your natural features while enhancing them with bonding for more natural-looking results. Following treatment planning, you'll have the opportunity to view different shades of composite directly applied to your teeth to select your preferred color. Whether it's choosing a resin that harmonizes with your natural tooth color or modifying the existing color, our meticulous application and sculpting ensure a flawless result.
At The Warm Smile, we specialize in the art of composite bonding, also known as composite veneers or teeth bonding. Our experienced dentists skillfully mold the resin to seamlessly integrate with your teeth, enhancing the aesthetic appeal of your smile while preserving the integrity of your teeth through minimal intervention. This approach provides effective protection for the natural teeth structure, significantly reducing material stress.
Following the completion of the composite bonding application and a precise polish, you'll unveil a smile that's not only beautiful but also resilient. Whether you require minor touch-ups or comprehensive smile makeovers, our cosmetic dentistry services, including advanced teeth whitening and composite veneers, are tailored to give you a confident, radiant smile.
Have your composite veneers been done elsewhere and are they breaking? This does not imply that composite veneers are fragile and short-lived. When properly done, composite veneers can last many years in good condition. Constant fractures may indicate issues with the functionality of the bite complex. Factors like grinding and parafunctional habits can also shorten the life of composite bonding. Rest assured, The Warm Smile is your trusted provider of immediate dental care, ensuring your smile remains protected around the clock. Composite veneer repair, although challenging, is a task we can complete with expertise.
Experience the art of composite bonding at The Warm Smile, where beautiful smiles are crafted with care and expertise. Schedule a free cosmetic consultation today for a smile transformation like no other.