COMPOSITE BONDING
The non-invasive alternative to Porcelain Veneers
Unlike porcelain veneers, composite bonding does not require to drill your teeth at all, and it is a reversable procedure
Achieve stunning results that rival porcelain veneers at a fraction of the cost!

Composite bonding Melbourne
Transforming smiles with artistry
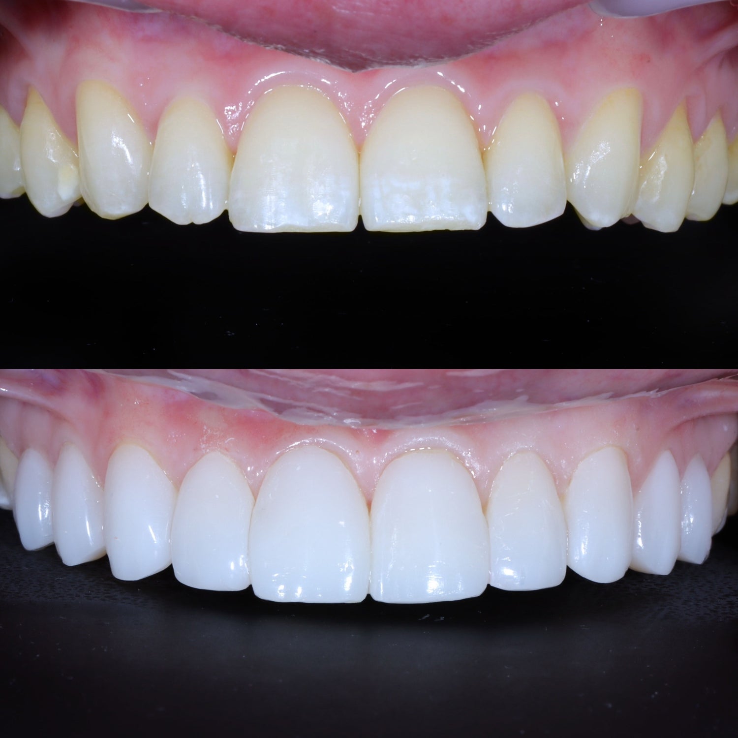
Composite bonding, also called composite veneers or dental bonding, can enhance the shape, size, and colour of your teeth, providing you with a beautiful and natural-looking smile while preserving the full integrity of your teeth.
At The Warm Smile, we specialize in free-hand modeling, a technique reserved for clinicians with exceptional skills that yields the most durable results.

Dental bonding in melbourne
What are composite veneers?
Composite veneers or composite bonding, are layers of filling material that covers the front part of the anterior teeth to improve aesthetics. It requires no tooth reduction. Unlike traditional veneers, composite veneers can be completed in a single office visit. They are a cost-effective alternative to porcelain veneers and provide immediate results for a brighter and more confident smile.

veneers melbourne
Dental bonding process
The composite bonding process is quite straighforward, can be done during a single office appointment and does not require anesthetic. The enamel of the teeth is conditioned to receive layers of composite resin which are applied and shaped on top. After being cured with a UV light, the material is polished and glazed.
Why choose composite bonding at The Warm Smile?
-
Masterful Artistry
Dr. Andrea Arenas, our principal dentist and clinical director, brings a unique perspective to composite bonding, blending her passion for sculpture as a visual artist with her expertise in aesthetic dentistry. Her meticulous attention to detail ensures natural-looking and beautifully crafted results.
-
Expertise & Credentials
Dr. Andrea Arenas is among the few dentists in Melbourne holding a Master's degree in Aesthetic Dentistry from King's College London. She is also one of the few dentist in Australia who has passed the exhaustive accreditation written exam of The American Academy of Cosmetic Dentistry.
-
Enhanced focus on quality
In contrast to large dental corporations, we prioritize quality over quantity, delivering exceptional care and ensuring high-quality outcomes.
Benefits of composite bonding
Composite bonding is your gateway to a stunning smile transformation at our clinic in Melbourne! Here's why it's a game-changer:
1. Swift & Single-Visit Solution:
Composite bonding can be completed in one or two visits.
2. Cost-Effective solution:
Composite bonding compared to other cosmetic treatments, offers a budget-friendly solution for enhancing your smile. It provides the patient with outstanding results that can rival those of porcelain restorations.
3. Seamlessly Natural Results:
Experience the magic of natural-looking results! The composite resin mimics the appearance of natural teeth, blending seamlessly with your smile.
4. Painless Procedure:
No need for anesthesia! Unlike other dental procedures, composite bonding is typically painless, offering comfort throughout the treatment.
5. Long-Lasting Beauty:
Enjoy your stunning smile for years! Composite bonding results are durable and can last several years with proper care and maintenance.
6. Enhance Your Smile's Appeal:
Transform your smile into a captivating feature! Whether correcting chips, gaps, or discoloration, composite bonding can enhance your smile's attractiveness.
At The Warm Smile dental clinic in Melbourne, we specialize in delivering exceptional composite bonding experiences. Our skilled team, led by experts in this field, is committed to crafting beautiful, lasting smiles that radiate confidence.
Ready to unveil your perfect smile? Schedule a consultation with us and discover the wonders of composite bonding. Let's embark on your journey to a more dazzling, natural-looking smile!
Frequently Asked Questions
How long composite bonding last?
Composite bonding typically lasts for several years, and its longevity can vary based on various factors such as dentist expertise, oral hygiene, eating and parafuctional habits.
On average, composite bonding can last between 5 to 10 years with proper care. Regular dental check-ups and maintenance can help prolong the lifespan of the bonding. It's essential to follow good oral hygiene practices, avoid biting hard objects, and refrain from habits like nail biting to ensure the durability of the bonded teeth.
Is Composite Bonding Ideal for You?
Composite bonding suitability depends on individual factors.
Our expert dentists in Melbourne will assess whether composite bonding is the right fit for you by considering:
- Tooth Location: Composite bonding works best for upper anterior teeth. While it can be applied to lower teeth, this practice isn't highly recommended. Porcelain is the material of choice for lower jaw veneers.
- Teeth alignment: Minor misalignments can be effectivelly corrected with composite bonding. However, severe crowding or crossbites are a contraindication for this procedure.
- Tooth Size: Small teeth requiring a significant amount of composite for restoration are more prone to fracture. These teeth would be better treated with a porcelain crown of veneer to achieve longer-lasting results.
- Teeth shade: Dental whitening is always recommended before getting composite bonding. If the background colour is bright, the veneer can be made using a enamel-like material, resulting in superior cosmetic outcomes. If whitening isn't performed and you wish to enhance your smile with composte bonding, the material used will have to be more opaque, potentially making your teeth appear artificial. If you are satisfied with your teeth's colour, composite bonding can be matched to this shade.
- Teeth damage Severity: The extent of the dental damage or imperfection is crucial. Teeth that have undergone root canal therapy are more suitable for porcelain crowns to prevent potential reinfection of the root canal over time.
We understand that each patient is unique. If you have specific questions or uncertainties regarding composite bonding, our team is here to provide the answers and guidance you need!
Ready to explore the potential of composite bonding? Contact us today for personalized advice and discover if this innovative treatment is the perfect solution for your dental needs.
What is the composite Bonding Process?
Here's what you can expect during the composite bonding process:
1. Consultation and Examination:
Your journey begins with a thorough consultation and examination with our skilled dental professionals. We'll discuss your smile goals, assess the areas requiring treatment, and determine if composite bonding is the ideal solution for you.
2. Smile design & shade selection:
Various suitable shades will be presented and tried on your teeth for your selection. Teeth mesurements to find the golden proportion of your smile will be calculated.
3. Composite Resin Application:
Our dentist will precisely apply the tooth-colored composite resin onto the teeth. The composite material is carefully shaped and sculpted to correct imperfections such as chips, gaps, discoloration, or misshapen areas.
4. Bonding and Curing:
Once the resin is in place, a special light is used to bond and harden the material onto the tooth. This curing process ensures the composite resin adheres securely, blending seamlessly with your natural teeth.
5. Sculpting and Polishing:
Our skilled dentist will meticulously sculpt and shape the bonded resin to achieve the desired aesthetics and natural appearance. The surface is then polished to a smooth finish, ensuring a flawless look.
6. Final Assessment and Finishing Touches:
We'll assess the results to ensure your satisfaction. Any final adjustments may be made to perfect the shape and contour of the bonded tooth, ensuring a harmonious smile.
7. Aftercare Instructions:
You'll receive instructions on how to care for your newly bonded tooth. Maintain good oral hygiene practices and attend regular dental check-ups to prolong the longevity of your composite bonding.
Composite bonding offers immediate and remarkable results, revitalizing your smile in just one visit!
Ready to transform your smile with composite bonding? Schedule a consultation with our experienced team and embark on your journey to a more confident and radiant smile.
Can composite bonding be whitened?
Composite bonding itself cannot be whitened once it's in place.
If you're considering teeth whitening, it's often recommended to undergo the whitening procedure before composite bonding. This allows you to achieve your desired tooth shade, and then the composite material can be color-matched to your newly whitened teeth.
It's essential to discuss your teeth whitening goals and composite bonding options with our cosmetic dentistry team. We can create a personalized treatment plan to achieve the smile you desire while ensuring a natural and harmonious appearance between your composite bonding and your overall tooth shade.
Want to see how Composite Veneers can improve your smile?
At The Warm Smile, our skilled dentists will work with you to design a customized veneer solution that meets your specific needs and goals.